Welcome to Sabbiotech!     
Email:info@signalwayantibody.com
Location: Home > Phospho Antibodies > FAK (Phospho-Y397) Rabbit mAb

FAK (Phospho-Y397) Rabbit mAb#13383

Availability: Yes
Total Amount:$
Product Detail

Product NameFAK (Phospho-Y397) Rabbit mAb

Clone No.SC54-07

Host SpeciesRabbit

ClonalityMonoclonal

PurificationProA affinity purified

ApplicationsWB, ICC/IF, IHC

Species ReactivityHu, Ms, Rt

Immunogen DescSynthetic phospho-peptide corresponding to residues surrounding Tyr397 of human FAK.

ConjugateUnconjugated

Other NamesFADK 1 antibody
FADK antibody
FAK related non kinase polypeptide antibody
FAK1 antibody
FAK1_HUMAN antibody
Focal adhesion kinase 1 antibody
Focal adhesion Kinase antibody
Focal adhesion kinase isoform FAK Del33 antibody
Focal adhesion kinase related nonkinase antibody
FRNK antibody
p125FAK antibody
pp125FAK antibody
PPP1R71 antibody
Protein phosphatase 1 regulatory subunit 71 antibody
Protein tyrosine kinase 2 antibody
Protein-tyrosine kinase 2 antibody
Ptk2 antibody
PTK2 protein tyrosine kinase 2 antibody

Accession NoSwiss-Prot#:Q05397

Uniprot Q05397

Gene ID 5747;

Calculated MWPredicted band size: 119 kDa

Sdspage MWObserved band size: 119 kDa

FormulationRabbit IgG in 10mM phosphate buffered saline , pH 7.4, 150mM sodium chloride, 0.05% BSA, 0.02% sodium azide and 50% glycerol.

StorageStore at -20˚C

Application Details
WB: 1:500-1:2000
ICC/IF: 1:50-1:200
IHC: 1:50-1:200
All lanes : FAK (Phospho-Y397) Rabbit mAb at 1/1k dilution

Lane 1 : Hela whole cell lysates
Lane 2 : Hela whole cell lysates treated with λpp for 1 hour

Lysates/proteins at 20 µg per lane.

Secondary
All lanes : Goat Anti-Rabbit IgG H&L (HRP) at 1/20000 dilution

Predicted band size: 119 kDa
Observed band size: 119 kDa

Exposure time: 10 seconds
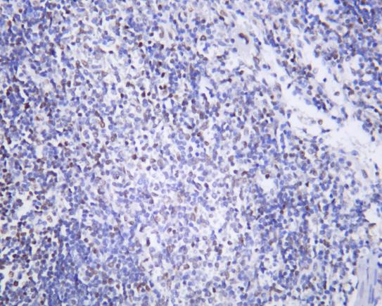
Formalin-fixed, paraffin-embedded rat spleen tissue stained for FAK (Phospho-Y397) using 13383 at 1/100 dilution in immunohistochemical analysis.
Immunocytochemistry/ Immunofluorescence FAK (Phospho-Y397) antibody (13383)

ICC/IF staining of FAK (Phospho-Y397) in NIH/3T3 cells. Cells were fixed with 4% Paraformaldehyde permeabilized with 0.1% Triton X-100.
Samples were incubated with 13383 at a working dilution of 1/100. The secondary antibody was Alexa Fluor® 488 goat anti rabbit, used at a dilution of 1/500.
Nuclei were counterstained with DAPI.
Immunocytochemistry/ Immunofluorescence FAK (Phospho-Y397) antibody (13383)

ICC/IF staining of FAK (Phospho-Y397) in Hela cells. Cells were fixed with 4% Paraformaldehyde permeabilized with 0.1% Triton X-100.
Samples were incubated with 13383 at a working dilution of 1/100. The secondary antibody was Alexa Fluor® 488 goat anti rabbit, used at a dilution of 1/500.
Nuclei were counterstained with DAPI.
Activation of integrins in the extracellular matrix (ECM) of eukaryotic cells promotes the formation of membrane adhesion complexes, known as focal adhesions, which can include cytoskeletal proteins and protein tyrosine kinases, such as focal adhesion kinase (FAK). Phosphorylation events occurring within focal adhesions influence numerous processes that include mitogenic signaling, cell survival, and cell motility. FAK is a non-receptor tyrosine kinase that is ubiquitously expressed and highly conserved between species. FAK is recruited by Integrin clusters and variably phosphorylated depending on the effector molecules present in the focal adhesion. Phosphorylation of FAK Tyr 397 decreases during serum starvation, contact inhibition, and cell cycle arrest, all conditions under which activating FAK Tyr 407 phosphorylation increases.

If you have published an article using product 13383, please notify us so that we can cite your literature.

et al,Anticancer Effect of Heparin-Taurocholate Conjugate on Orthotopically Induced Exocrine and Endocrine Pancreatic Cancer , (2021),
PMID: 34830928

NOTE

Application

  • WBWestern Blotting
  • IHCImmunohistochemistry
  • IFImmunofluorescence
  • ICCImmunocytochemistry
  • FCFlow Cytometry
  • IPImmunoprecipitation
  • EELISA
  • DBDot Blotting
  • ChIPChromatin Immunoprecipitation
  • GICAGold Immunochromatography Assay
  • NCNegative Control

Species Reactivity

  • HuHuman
  • MsMouse
  • RtRat
  • DmDrosophila melanogaster
  • CCaenorhabditis elegans
  • MkMonkey
  • RbRabbit
  • BBovine
  • DDog
  • PPig
  • HmHamster
  • ChHmChinese Hamster
  • ChkChicken
  • ShpSheep
;