Welcome to Sabbiotech!     
Email:info@signalwayantibody.com
Location: Home > Phospho Antibodies > Creb (Phospho-S133) Rabbit mAb

Creb (Phospho-S133) Rabbit mAb#13435

Availability: Yes
Total Amount:$
Product Detail

Product NameCreb (Phospho-S133) Rabbit mAb

Clone No.JB25-40

Host SpeciesRabbit

ClonalityMonoclonal

PurificationProA affinity purified

ApplicationsWB, ICC/IF, IHC

Species ReactivityHu, Ms

Immunogen DescSynthetic phospho-peptide corresponding to residues surrounding Ser133 of human Creb.

ConjugateUnconjugated

Other NamesActive transcription factor CREB antibody
cAMP response element binding protein 1 antibody
cAMP response element binding protein antibody
cAMP responsive element binding protein 1 antibody
cAMP-responsive element-binding protein 1 antibody
CREB antibody
CREB-1 antibody
CREB1 antibody
CREB1_HUMAN antibody
Cyclic AMP-responsive element-binding protein 1 antibody
MGC9284 antibody
OTTHUMP00000163864 antibody
OTTHUMP00000163865 antibody
OTTHUMP00000206660 antibody
OTTHUMP00000206662 antibody
OTTHUMP00000206667 antibody
Transactivator protein antibody

Accession NoSwiss-Prot#:P16220

Uniprot P16220

Gene ID 1385;

Calculated MWPredicted band size: 35 kDa

Sdspage MWObserved band size: 46 kDa

Formulation1*TBS (pH7.4), 1%BSA, 40%Glycerol. Preservative: 0.05% Sodium Azide.

StorageStore at -20˚C

Application Details
WB: 1:500-1:2000
ICC/IF: 1:50-1:200
IHC: 1:50-1:200
All lanes : Creb (Phospho-S133) Rabbit mAb at 1/1k dilution
Lane 1 : Hela whole cell lysates
Lane 2 : HeLa treated with 10 µM Forskolin for 30min whole cell lysates
Secondary
All lanes : Goat Anti-Rabbit IgG H&L (HRP) at 1/20000 dilution
Predicted band size: 35 kDa
Observed band size: 46 kDa

Exposure time: 5 seconds
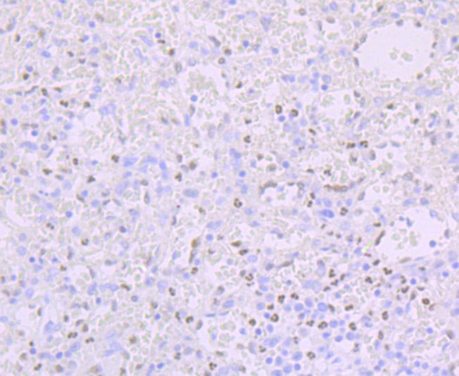
Formalin-fixed, paraffin-embedded human spleen tissue stained for Creb (Phospho-S133) using 13435 at 1/100 dilution in immunohistochemical analysis.
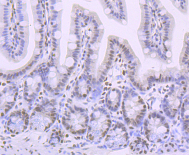
Formalin-fixed, paraffin-embedded mouse colon tissue stained for Creb (Phospho-S133) using 13435 at 1/100 dilution in immunohistochemical analysis.
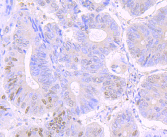
Formalin-fixed, paraffin-embedded human colon cancer tissue stained for Creb (Phospho-S133) using 13435 at 1/100 dilution in immunohistochemical analysis.
Immunocytochemistry/ Immunofluorescence Creb (Phospho-S133) antibody (13435)

ICC/IF staining of Creb (Phospho-S133) in SHSY5Y cells. Cells were fixed with 4% Paraformaldehyde permeabilized with 0.1% Triton X-100.
Samples were incubated with 13435 at a working dilution of 1/100. The secondary antibody was Alexa Fluor® 488 goat anti rabbit, used at a dilution of 1/500.
Nuclei were counterstained with DAPI.
Immunocytochemistry/ Immunofluorescence Creb (Phospho-S133) antibody (13435)

ICC/IF staining of Creb (Phospho-S133) in HUVEC cells. Cells were fixed with 4% Paraformaldehyde permeabilized with 0.1% Triton X-100.
Samples were incubated with 13435 at a working dilution of 1/100. The secondary antibody was Alexa Fluor® 488 goat anti rabbit, used at a dilution of 1/500.
Nuclei were counterstained with DAPI.
Phosphorylation-dependent transcription factor that stimulates transcription upon binding to the DNA cAMP response element (CRE), a sequence present in many viral and cellular promoters. Transcription activation is enhanced by the TORC coactivators which act independently of Ser-133 phosphorylation. Involved in different cellular processes including the synchronization of circadian rhythmicity and the differentiation of adipose cells.

If you have published an article using product 13435, please notify us so that we can cite your literature.

et al,Lactobacillus pentosus LPQ1 attenuates depressive-like behavior in BALB/C mice induced by chronic unpredictable mild stress (CUMS) , (2024),
PMID:
et al,Hydrogen sulfide decreases β-adrenergic agonist-stimulated lung liquid clearance by inhibiting ENaC-mediated transepithelial sodium absorption , (2015),
PMID:

NOTE

Application

  • WBWestern Blotting
  • IHCImmunohistochemistry
  • IFImmunofluorescence
  • ICCImmunocytochemistry
  • FCFlow Cytometry
  • IPImmunoprecipitation
  • EELISA
  • DBDot Blotting
  • ChIPChromatin Immunoprecipitation
  • GICAGold Immunochromatography Assay
  • NCNegative Control

Species Reactivity

  • HuHuman
  • MsMouse
  • RtRat
  • DmDrosophila melanogaster
  • CCaenorhabditis elegans
  • MkMonkey
  • RbRabbit
  • BBovine
  • DDog
  • PPig
  • HmHamster
  • ChHmChinese Hamster
  • ChkChicken
  • ShpSheep
;