Welcome to Sabbiotech!     
Email:info@signalwayantibody.com
Location: Home > Polyclonal Antibodies > PIK3R3 antibody

PIK3R3 antibody#23086

Availability: Yes
Total Amount:$
Product Detail

Product NamePIK3R3 antibody

Host SpeciesRabbit

ClonalityPolyclonal

PurificationPurified by antigen-affinity chromatography.

ApplicationsWB IHC

Species ReactivityHu

Immunogen TypeRecombinant protein

Immunogen DescRecombinant protein fragment contain a sequence corresponding to a region within amino acids 192 and 437 of Human PIK3R3

Target NamePIK3R3

ConjugateUnconjugated

Accession NoSwiss-Prot:Q92569
Gene ID:8503

Uniprot Q92569

Gene ID 8503;

Concentration1mg/ml

FormulationSupplied in 0.1M Tris-buffered saline with 10% Glycerol (pH7.0). 0.01% Thimerosal was added as a preservative.

StorageStore at -20˚C for long term preservation (recommended). Store at 4˚C for short term use.

Application Details
Predicted MW: 54kd
Western blotting: 1:500-1:3000
Immunohistochemistry: 1:50-1:500
Sample (30ug whole cell lysate)
A: A431
7.5% SDS PAGE
Primary antibody diluted at 1: 1000
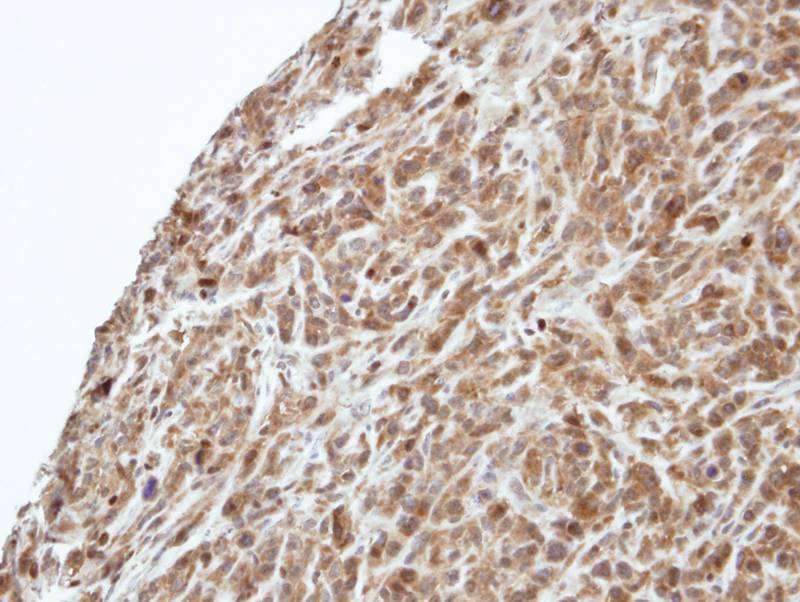
Immunohistochemical analysis of paraffin-embedded SAS xenograft, using PIK3R3 antibody at 1: 500 dilution.

If you have published an article using product 23086, please notify us so that we can cite your literature.

et al,CSF-1R regulates non-small cell lung cancer cells dissemination through Wnt3a signaling. , (2017),
PMID: 29218239

NOTE

Application

  • WBWestern Blotting
  • IHCImmunohistochemistry
  • IFImmunofluorescence
  • ICCImmunocytochemistry
  • FCFlow Cytometry
  • IPImmunoprecipitation
  • EELISA
  • DBDot Blotting
  • ChIPChromatin Immunoprecipitation
  • GICAGold Immunochromatography Assay
  • NCNegative Control

Species Reactivity

  • HuHuman
  • MsMouse
  • RtRat
  • DmDrosophila melanogaster
  • CCaenorhabditis elegans
  • MkMonkey
  • RbRabbit
  • BBovine
  • DDog
  • PPig
  • HmHamster
  • ChHmChinese Hamster
  • ChkChicken
  • ShpSheep
;