Welcome to Sabbiotech!     
Email:info@signalwayantibody.com
Location: Home > Polyclonal Antibodies > TLR4 Antibody

TLR4 Antibody#24193

Availability: Yes
Total Amount:$
Product Detail

Product NameTLR4 Antibody

Host SpeciesRabbit

ClonalityPolyclonal

PurificationAffinity chromatography purified via peptide column

ApplicationsELISA IHC

Species ReactivityHu

SpecificityTLR4 antibody is predicted to not cross-react with other TLR protein family members.

Immunogen TypePeptide

Immunogen DescRaised against a 14 amino acid peptide near the carboxy terminus of human TLR4.

Target NameTLR4

ConjugateUnconjugated

Other NamesToll-like receptor 4

Accession NoSwiss-Prot:O00206
Gene ID:7099

Uniprot O00206

Gene ID 7099;

Concentration1mg/ml

FormulationSupplied in PBS containing 0.02% sodium azide.

StorageCan be stored at -20˚C, stable for one year. As with all antibodies care should be taken to avoid repeated freeze thaw cycles. Antibodies should not be exposed to prolonged high temperatures.

Application Details
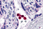
Immunohistochemistry of TLR4 in human placenta tissue with TLR4 antibody at 5 ug/mL.
Toll-like receptors (TLRs) are signaling molecules that recognize different microbial products during infection and serve as an important link between the innate and adaptive immune responses. These proteins act through adaptor molecules such as MyD88 and TIRAP to activate various kinases and transcription factors such as Protein Kinase C (PKC) alpha/beta and NF-κB. Studies with TLR4-deficient mice indicate that the main ligand for TLR is lipopolysaccharide. Consequently, these mice also showed increased susceptibility to Gram-negative sepsis.

If you have published an article using product 24193, please notify us so that we can cite your literature.

et al,Phthalide derivative CD21 attenuates tissue plasminogen activator-induced hemorrhagic transformation in ischemic stroke by enhancing macrophage scavenger receptor 1-mediated DAMP (peroxiredoxin 1) clearance , (2021),
PMID: 34162400

NOTE

Application

  • WBWestern Blotting
  • IHCImmunohistochemistry
  • IFImmunofluorescence
  • ICCImmunocytochemistry
  • FCFlow Cytometry
  • IPImmunoprecipitation
  • EELISA
  • DBDot Blotting
  • ChIPChromatin Immunoprecipitation
  • GICAGold Immunochromatography Assay
  • NCNegative Control

Species Reactivity

  • HuHuman
  • MsMouse
  • RtRat
  • DmDrosophila melanogaster
  • CCaenorhabditis elegans
  • MkMonkey
  • RbRabbit
  • BBovine
  • DDog
  • PPig
  • HmHamster
  • ChHmChinese Hamster
  • ChkChicken
  • ShpSheep
;