Welcome to Sabbiotech!     
Email:info@signalwayantibody.com
Location: Home > Polyclonal Antibodies > TEM2 Antibody

TEM2 Antibody#24591

Availability: Yes
Total Amount:$
Product Detail

Product NameTEM2 Antibody

Host SpeciesRabbit

ClonalityPolyclonal

PurificationAffinity chromatography purified via peptide column

ApplicationsELISA WB IHC

Species ReactivityHu Ms Rt

Immunogen TypePeptide

Immunogen DescRaised against a 15 amino acid peptide near the carboxy terminus of the human TEM2.

Target NameTEM2

ConjugateUnconjugated

Other NamesTumor endothelial marker 2, Ras homolog enriched in striatum, Rhes, RASD2

Accession NoQ96D21

Uniprot Q96D21

Gene ID 23551;

Concentration1mg/ml

FormulationSupplied in PBS containing 0.02% sodium azide.

StorageCan be stored at -20˚C, stable for one year. As with all antibodies care should be taken to avoid repeated freeze thaw cycles. Antibodies should not be exposed to prolonged high temperatures.

Application Details
Western blot analysis of TEM2 in human colon tissue lysate with TEM2 antibody at (A) 1 and (B) 2 ug/mL.
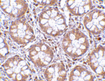
Immunohistochemistry of TEM2 in human colon tissue with TEM2 antibody at 2.5 ug/mL.
Rhes, also known as tumor endothelial marker 2 (TEM2), is a small GTP-binding protein that is predominantly expressed in the striatal region of the brain. This protein belongs to the RASD subfamily of Ras-related GTP-binding protein superfamily and is thought to play a role in the normal development and function of the brain as mice lacking this gene showed increased anxiety levels and motor coordination deficits. Rhes was identified as TEM2 through analysis of genes whose expression was upregulated in tumor endothelium. Tumor endothelial markers are significantly up-regulated during angiogenesis and neoangiogenesis that are crucial for the growth of solid tumors. TEMs localized on the cell surface and conserved across species are of particular interest for future development of anti-angiogenic therapies.

If you have published an article using product 24591, please notify us so that we can cite your literature.

et al,The identities of insulin signaling pathway are affected by overexpression of Tau and its phosphorylation form , (2022),
PMID: 36589543

NOTE

Application

  • WBWestern Blotting
  • IHCImmunohistochemistry
  • IFImmunofluorescence
  • ICCImmunocytochemistry
  • FCFlow Cytometry
  • IPImmunoprecipitation
  • EELISA
  • DBDot Blotting
  • ChIPChromatin Immunoprecipitation
  • GICAGold Immunochromatography Assay
  • NCNegative Control

Species Reactivity

  • HuHuman
  • MsMouse
  • RtRat
  • DmDrosophila melanogaster
  • CCaenorhabditis elegans
  • MkMonkey
  • RbRabbit
  • BBovine
  • DDog
  • PPig
  • HmHamster
  • ChHmChinese Hamster
  • ChkChicken
  • ShpSheep
;