Product Detail
Product NameSTAU1 Polyclonal Antibody
Host SpeciesRabbit
ClonalityPolyclonal
IsotypeIgG
PurificationAffinity purification
ApplicationsWB,IHC
Species ReactivityHuman,Mouse,Rat
Immunogen DescRecombinant fusion protein of human STAU1 (NP_059347.2).
ConjugateUnconjugated
Other NamesSTAU1; PPP1R150; STAU; staufen double-stranded RNA binding protein 1
Accession NoSwiss-Prot#:O95793
NCBI Gene ID:6780
Uniprot
O95793
Gene ID
6780;
Calculated MW58kDa
FormulationAvoid freeze / thaw cycles.|Buffer: PBS with 50% glycerol, pH7.4.
StorageStore at -20˚C
Application Details
WB 1:500 - 1:2000
IHC 1:50 - 1:100
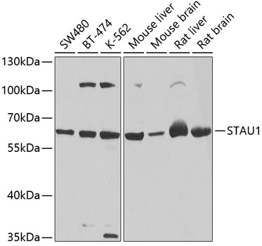
Western blot analysis of extracts of various cell lines, using STAU1 at 1:1000 dilution.
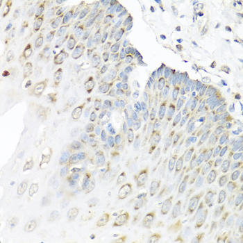
Immunohistochemistry of paraffin-embedded human esophagus using STAU1 at dilution of 1:100 (40x lens).
Staufen is a member of the family of double-stranded RNA (dsRNA)-binding proteins involved in the transport and/or localization of mRNAs to different subcellular compartments and/or organelles. These proteins are characterized by the presence of multiple dsRNA-binding domains which are required to bind RNAs having double-stranded secondary structures. The human homologue of staufen encoded by STAU, in addition contains a microtubule- binding domain similar to that of microtubule-associated protein 1B, and binds tubulin. The STAU gene product has been shown to be present in the cytoplasm in association with the rough endoplasmic reticulum (RER), implicating this protein in the transport of mRNA via the microtubule network to the RER, the site of translation. Five transcript variants resulting from alternative splicing of STAU gene and encoding three isoforms have been described. Three of these variants encode the same isoform, however, differ in their 5'UTR.
If you have published an article using product 30523, please notify us so that we can cite your literature.