Welcome to Sabbiotech!     
Email:info@signalwayantibody.com
Location: Home > Polyclonal Antibodies > SLC25A4 Antibody

SLC25A4 Antibody#32484

Availability: Yes
Total Amount:$
Product Detail

Product NameSLC25A4 Antibody

Host SpeciesRabbit

ClonalityPolyclonal

IsotypeIgG

PurificationAffinity purification

ApplicationsWB;IHC

Species ReactivityHuman,Mouse,Rat

SpecificityThe antibody detects endogenous level of total SLC25A4 protein.

Immunogen TypeRecombinant Protein

Immunogen DescSynthetic peptide of human SLC25A4

Target NameSLC25A4

ConjugateUnconjugated

Other NamesSLC25A4;AAC1;ANT;ANT 1;ANT1;MTDPS12;MTDPS12A;PEO2;PEO3;PEOA2;T1

Accession NoUniprot:P12235
GeneID:291

Uniprot P12235

Gene ID 291

Sdspage MW33KDa

Concentration1.0mg/ml

FormulationpH7.4 PBS, 0.05% NaN3, 40% Glycerol

StorageStore at -20˚C. Avoid freeze / thaw cycles.

Application Details
WB 1:1000-1:5000;
IHC 1:50-1:200;
Gel: 12%SDS-PAGE
Lysate: 40 ug
Lane: Mouse heart tissue lysate
Primary antibody: (SLC25A4 Antibody) at dilution 1/800
Secondary antibody: (HRP-conjugated Goat anti rabbit IgG) at 1/5000 dilution
Exposure time: 10 seconds
The image on the left is immunohistochemistry of paraffinembedded Human liver cancer tissue using (SLC25A4 Antibody) at dilution 1/50, on the right is treated with synthetic peptide. (Original magnification: 200)
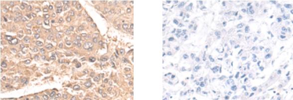
The image on the left is immunohistochemistry of paraffinembedded Human breast cancer tissue using (SLC25A4 Antibody) at dilution 1/50, on the right is treated with synthetic peptide. (Original magnification: 200)
This gene is a member of the mitochondrial carrier subfamily of solute carrier protein genes. The product of this gene functions as a gated pore that translocates ADP from the cytoplasm into the mitochondrial matrix and ATP from the mitochondrial matrix into the cytoplasm. The protein forms a homodimer embedded in the inner mitochondria membrane. Mutations in this gene have been shown to result in autosomal dominant progressive external opthalmoplegia and familial hypertrophic cardiomyopathy.

If you have published an article using product 32484, please notify us so that we can cite your literature.

et al,Inhibition of mitochondrial permeability transition by deletion of the ANT family and CypD. In Sci Adv on 2019 Aug 28 by Karch J, Bround MJ, et al..PMID:31489369 , (2019),
PMID: 31489369
et al,ATP synthase C-subunit-deficient mitochondria have a small cyclosporine A-sensitive channel, but lack the permeability transition pore. In Cell Rep on 2019 Jan 2 by Maria A Neginskaya, Maria E Solesio, et al..PMID: 30605668 , (2019),
PMID: 30605668
et al,A mitochondrial megachannel resides in monomeric F 1 FO ATP synthase. In Nat Commun on 2019 Dec 20 by Nelli Mnatsakanyan, Marc C Llaguno,et al..PMID: 31862883 , (2019),
PMID: 31862883
et al,ANT-dependent MPTP underlies necrotic myofiber death in muscular dystrophyInSci AdvOn2023 Aug 25byMichael J Bround?1,?Julian R Havens et al..PMID: 37624892 , (2023),
PMID: 37624892
et al,The adenine nucleotide translocase family underlies cardiac ischemia-reperfusion injury through the mitochondrial permeability pore independently of cyclophilin D , (2024),
PMID:
et al,DNAH3 deficiency causes flagellar inner dynein arm loss and male infertility in humans and mice , (2024),
PMID:

NOTE

Application

  • WBWestern Blotting
  • IHCImmunohistochemistry
  • IFImmunofluorescence
  • ICCImmunocytochemistry
  • FCFlow Cytometry
  • IPImmunoprecipitation
  • EELISA
  • DBDot Blotting
  • ChIPChromatin Immunoprecipitation
  • GICAGold Immunochromatography Assay
  • NCNegative Control

Species Reactivity

  • HuHuman
  • MsMouse
  • RtRat
  • DmDrosophila melanogaster
  • CCaenorhabditis elegans
  • MkMonkey
  • RbRabbit
  • BBovine
  • DDog
  • PPig
  • HmHamster
  • ChHmChinese Hamster
  • ChkChicken
  • ShpSheep
;