Welcome to Sabbiotech!     
Email:info@signalwayantibody.com
Location: Home > Polyclonal Antibodies > TPH1 Antibody

TPH1 Antibody#35965

Availability: Yes
Total Amount:$
Product Detail

Product NameTPH1 Antibody

Host SpeciesRabbit

ClonalityPolyclonal

PurificationAntigen affinity purification.

ApplicationsIHC

Species ReactivityHu

SpecificityThe antibody detects endogenous levels of total TPH1 protein.

Immunogen TypeRecombinant Protein

Immunogen DescFusion protein corresponding to residues near the C terminal of human tryptophan hydroxylase 1

Target NameTPH1

ConjugateUnconjugated

Other NamesTPRH; TRPH

Accession NoSwiss-Prot#: P17752
NCBI Gene ID: 7166
Gene Accssion: BC106739

Uniprot P17752

Gene ID 7166;

Concentration0.7mg/ml

FormulationRabbit IgG in pH7.4 PBS, 0.05% NaN3, 40% Glycerol.

StorageStore at -20˚C

Application Details
Immunohistochemistry: 1:15-1:50
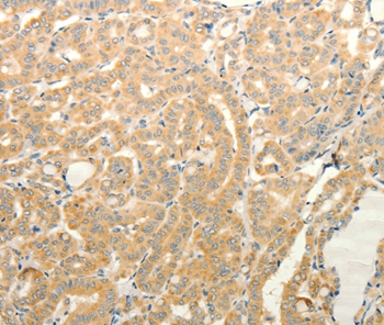
Immunohistochemical analysis of paraffin-embedded Human thyroid cancer tissue using #35965 at dilution 1/20.
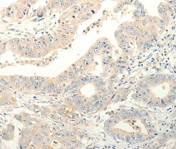
Immunohistochemical analysis of paraffin-embedded Human gastric cancer tissue using #35965 at dilution 1/20.
This gene encodes a member of the aromatic amino acid hydroxylase family. The encoded protein catalyzes the first and rate limiting step in the biosynthesis of serotonin, an important hormone and neurotransmitter. Mutations in this gene have been associated with an elevated risk for a variety of diseases and disorders, including schizophrenia, somatic anxiety, anger-related traits, bipolar disorder, suicidal behavior, addictions, and others.

If you have published an article using product 35965, please notify us so that we can cite your literature.

et al,Nephrotoxicity induced by cisplatin is primarily due to the activation of the 5-hydroxytryptamine degradation system in proximal renal tubules , (2021),
PMID:
et al,The activation of 5-hydroxytryptamine degradation system in proximal renal tubular epithelial cells induced by renal ischemia-reperfusion injury , (2021),
PMID:

NOTE

Application

  • WBWestern Blotting
  • IHCImmunohistochemistry
  • IFImmunofluorescence
  • ICCImmunocytochemistry
  • FCFlow Cytometry
  • IPImmunoprecipitation
  • EELISA
  • DBDot Blotting
  • ChIPChromatin Immunoprecipitation
  • GICAGold Immunochromatography Assay
  • NCNegative Control

Species Reactivity

  • HuHuman
  • MsMouse
  • RtRat
  • DmDrosophila melanogaster
  • CCaenorhabditis elegans
  • MkMonkey
  • RbRabbit
  • BBovine
  • DDog
  • PPig
  • HmHamster
  • ChHmChinese Hamster
  • ChkChicken
  • ShpSheep
;