Welcome to Sabbiotech!     
Email:info@signalwayantibody.com
Location: Home > Polyclonal Antibodies > C12orf75 Antibody

C12orf75 Antibody#37781

Availability: Yes
Total Amount:$
Product Detail

Product NameC12orf75 Antibody

Host SpeciesRabbit

ClonalityPolyclonal

PurificationAntigen affinity purification.

ApplicationsIHC

Species ReactivityHu

SpecificityThe antibody detects endogenous levels of total C12orf75 protein.

Immunogen TypePeptide

Immunogen DescSynthetic peptide corresponding to residues near the C terminal of human chromosome 12 open reading frame 75

Target NameC12orf75

ConjugateUnconjugated

Other NamesAGD3; OCC1; OCC-1

Accession NoSwiss-Prot#: Q8TAD7
NCBI Gene ID: 387882
Gene Accssion: NP_001138671

Uniprot Q8TAD7

Gene ID 387882;

Concentration0.6mg/ml

FormulationRabbit IgG in pH7.4 PBS, 0.05% NaN3, 40% Glycerol.

StorageStore at -20˚C

Application Details
Immunohistochemistry: 1:25-1:100
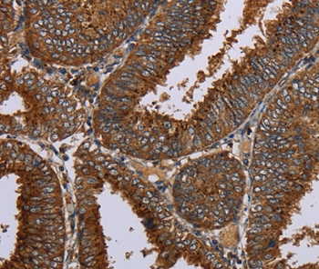
Immunohistochemical analysis of paraffin-embedded Human colon cancer tissue using #37781 at dilution 1/20.
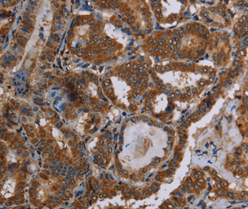
Immunohistochemical analysis of paraffin-embedded Human thyroid cancer tissue using #37781 at dilution 1/20.
C12orf75 (chromosome 12 open reading frame 75), also known as AGD3 or OCC1, is a protein that in humans is encoded by the C12orf75 gene. C12orf75 is high expression in placenta, skeletal muscle, kidney and pancreas tissues.?

If you have published an article using product 37781, please notify us so that we can cite your literature.

et al,Comprehensive integration of single-cell RNA and transcriptome RNA sequencing to establish a pyroptosis-related signature for improving prognostic prediction of gastric cancer. In Comput Struct Biotechnol J on 2024 Feb 7 by Jie Li, Tian Yu,et al..PMID:38404710 , (2024),
PMID: 38404710
et al,Comprehensive integration of single-cell RNA and transcriptome RNA sequencing to establish a pyroptosis-related signature for improving prognostic prediction of gastric cancer , (2024),
PMID:

NOTE

Application

  • WBWestern Blotting
  • IHCImmunohistochemistry
  • IFImmunofluorescence
  • ICCImmunocytochemistry
  • FCFlow Cytometry
  • IPImmunoprecipitation
  • EELISA
  • DBDot Blotting
  • ChIPChromatin Immunoprecipitation
  • GICAGold Immunochromatography Assay
  • NCNegative Control

Species Reactivity

  • HuHuman
  • MsMouse
  • RtRat
  • DmDrosophila melanogaster
  • CCaenorhabditis elegans
  • MkMonkey
  • RbRabbit
  • BBovine
  • DDog
  • PPig
  • HmHamster
  • ChHmChinese Hamster
  • ChkChicken
  • ShpSheep
;