Welcome to Sabbiotech!     
Email:info@signalwayantibody.com
Location: Home > Polyclonal Antibodies > UBE2W Antibody

UBE2W Antibody#43601

Availability: The lead time is currently 1 week.
Total Amount:$
Product Detail

Product NameUBE2W Antibody

Host SpeciesRabbit

ClonalityPolyclonal

PurificationAntigen affinity purification

ApplicationsIHC WB

Species ReactivityHu Rt

SpecificityThe antibody detects endogenous levels of total UBE2W protein.

Immunogen Typeprotein

Immunogen DescFull length fusion protein

Target NameUBE2W

ConjugateUnconjugated

Other NamesUBC16; UBC-16

Accession NoSwiss-Prot#: Q96B02
NCBI Gene ID: 55284

Uniprot Q96B02

Gene ID 55284;

Calculated MW17kd

Concentration1.4mg/ml

FormulationRabbit IgG in pH7.4 PBS, 0.05% NaN3, 40% Glycerol.

StorageStore at -20˚C

Application Details
Western blotting: 1:500-2000
Immunohistochemistry: 1: 100-250
Gel: 12%SDS-PAGE
Lysate: 40 μg, Lane 1-2: 231 cell and Human cerebrum tissue lysates,
Primary antibody:UBE2W antibody at dilution 1/550,
Secondary antibody: Goat anti rabbit IgG at 1/8000 dilution,
Exposure time: 4 minutes
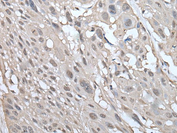
The image on the left is immunohistochemistry of paraffin-embedded Human cervical cancer tissue using UBE2W Antibody at dilution 1/100, on the right is treated with fusion protein. (Original magnification: x200)
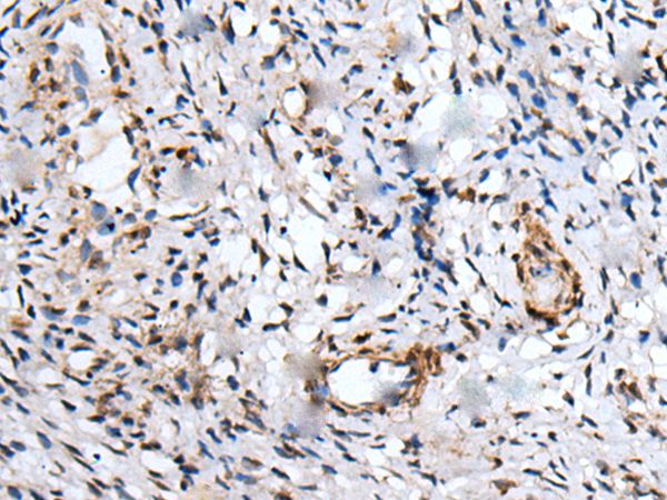
The image on the left is immunohistochemistry of paraffin-embedded Human esophagus cancer tissue using UBE2W Antibody at dilution 1/100, on the right is treated with fusion protein. (Original magnification: x200)
This gene encodes a nuclear-localized ubiquitin-conjugating enzyme (E2) that, along with ubiquitin-activating (E1) and ligating (E3) enzymes, coordinates the addition of a ubiquitin moiety to existing proteins. The encoded protein promotes the ubiquitination of Fanconi anemia complementation group proteins and may be important in the repair of DNA damage. There is a pseudogene for this gene on chromosome 1. Alternative splicing results in multiple transcript variants.?

If you have published an article using product 43601, please notify us so that we can cite your literature.

et al,Genetic code expansion reveals aminoacylated lysine ubiquitination mediated by UBE2W , (2023),
PMID: 36593310

NOTE

Application

  • WBWestern Blotting
  • IHCImmunohistochemistry
  • IFImmunofluorescence
  • ICCImmunocytochemistry
  • FCFlow Cytometry
  • IPImmunoprecipitation
  • EELISA
  • DBDot Blotting
  • ChIPChromatin Immunoprecipitation
  • GICAGold Immunochromatography Assay
  • NCNegative Control

Species Reactivity

  • HuHuman
  • MsMouse
  • RtRat
  • DmDrosophila melanogaster
  • CCaenorhabditis elegans
  • MkMonkey
  • RbRabbit
  • BBovine
  • DDog
  • PPig
  • HmHamster
  • ChHmChinese Hamster
  • ChkChicken
  • ShpSheep
;