Welcome to Sabbiotech!     
Email:info@signalwayantibody.com
Location: Home > Polyclonal Antibodies > TGFB3 Antibody

TGFB3 Antibody#43702

Availability: The lead time is currently 1 week.
Total Amount:$
Product Detail

Product NameTGFB3 Antibody

Host SpeciesRabbit

ClonalityPolyclonal

PurificationAntigen affinity purification

ApplicationsIHC

Species ReactivityHu Ms Rt

SpecificityThe antibody detects endogenous levels of total TGFB3 protein.

Immunogen Typepeptide

Immunogen DescSynthetic peptide of human TGFB3

Target NameTGFB3

ConjugateUnconjugated

Other NamesARVD; RNHF; ARVD1; TGF-beta3

Accession NoSwiss-Prot#: P10600
NCBI Gene ID: 7043

Uniprot P10600

Gene ID 7043;

Concentration0.5mg/ml

FormulationRabbit IgG in pH7.4 PBS, 0.05% NaN3, 40% Glycerol.

StorageStore at -20˚C

Application Details

Immunohistochemistry: 1: 20-100
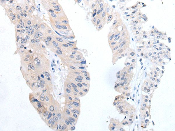
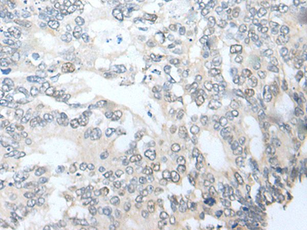
The image on the left is immunohistochemistry of paraffin-embedded Human liver cancer tissue using TGFB3 Antibody at dilution 1/20, on the right is treated with synthetic peptide. (Original magnification: x200)
The image on the left is immunohistochemistry of paraffin-embedded Human colorectal cancer tissue using TGFB3 Antibody at dilution 1/20, on the right is treated with synthetic peptide. (Original magnification: x200)
This gene encodes a member of the TGF-beta family of proteins. The encoded protein is secreted and is involved in embryogenesis and cell differentiation. Defects in this gene are a cause of familial arrhythmogenic right ventricular dysplasia 1.?

If you have published an article using product 43702, please notify us so that we can cite your literature.

et al,Composite Hydrogel Containing Collagen-Modified Polylactic Acid-Hydroxylactic Acid Copolymer Microspheres Loaded with Tetramethylpyrazine Promotes Articular Cartilage Repair , (2024),
PMID:

NOTE

Application

  • WBWestern Blotting
  • IHCImmunohistochemistry
  • IFImmunofluorescence
  • ICCImmunocytochemistry
  • FCFlow Cytometry
  • IPImmunoprecipitation
  • EELISA
  • DBDot Blotting
  • ChIPChromatin Immunoprecipitation
  • GICAGold Immunochromatography Assay
  • NCNegative Control

Species Reactivity

  • HuHuman
  • MsMouse
  • RtRat
  • DmDrosophila melanogaster
  • CCaenorhabditis elegans
  • MkMonkey
  • RbRabbit
  • BBovine
  • DDog
  • PPig
  • HmHamster
  • ChHmChinese Hamster
  • ChkChicken
  • ShpSheep
;