Product Detail
                                
                                                                        Product NameSLC6A9 Antibody
                                                                                 Host SpeciesRabbit
                                         ClonalityPolyclonal
                                                                                PurificationAntigen affinity purification
                                        ApplicationsIHC
                                        Species ReactivityHu, Ms, Rt
                                        SpecificityThe antibody detects endogenous levels of total SLC6A9 protein.
                                        Immunogen TypePeptide
                                         Immunogen DescSynthetic peptide of human SLC6A9
                                         Target NameSLC6A9
                                         ConjugateUnconjugated
                                                                                 Other NamesGLYT1; GCENSG
                                        Accession NoSwiss-Prot#:P48067
NCBI Gene ID:6536
Gene Accssion:NP_964012
                                        Uniprot
                                        P48067
                                        
                                        Gene ID
                                        6536;
                                        
                                                                                                                        Concentration0.7
                                         FormulationRabbit IgG in pH7.4 PBS, 0.05% NaN3, 40% Glycerol.
                                        StorageStore at -20˚C
                                                                                                                                                         
                                Application Details
                                IHC dilution:1: 30-150
                             
                            
                                                                
                                    
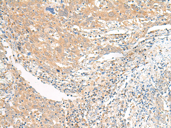
                                    The image is immunohistochemistry of paraffin-embedded Human colorectal cancer tissue using 47583(SLC6A9 Antibody) at dilution 1/25.(Original magnification: 200)
                                 
                                                                
                                    
                                    The image is immunohistochemistry of paraffin-embedded Human cervical cancer tissue using 47583(SLC6A9 Antibody) at dilution 1/25.(Original magnification: 200)
                                 
                                                             
                            
                                The amino acid glycine acts as an inhibitory neurotransmitter in the central nervous system. The protein encoded by this gene is one of two transporters that stop glycine signaling by removing it from the synaptic cleft.
                            
                            
                                If you have published an article using product 47583, please notify us so that we can cite your literature.
                                                                                                    
                                      et al,ALG5 downregulation inhibits osteogenesis and promotes adipogenesis by regulating the N-glycosylation of SLC6A9 in osteoporosis.
 ,  (2025),
PMID:
                                    39760914