Welcome to Sabbiotech!     
Email:info@signalwayantibody.com
Location: Home > Polyclonal Antibodies > CXCL12 Rabbit Polyclonal Antibody

CXCL12 Rabbit Polyclonal Antibody#54506

Availability: Yes
Total Amount:$
Product Detail

Product NameCXCL12 Rabbit Polyclonal Antibody

Host SpeciesRabbit

ClonalityPolyclonal

IsotypeIgG

PurificationAffinity purification

ApplicationsWB,IHC,IF

Species ReactivityHuman,Mouse,Rat

Immunogen DescRecombinant protein of human CXCL12.

ConjugateUnconjugated

Other NamesCXCL12;IRH;PBSF;SCYB12;SDF1;TLSF;TPAR1

Accession NoUniprot:P48061
GeneID:6387

Uniprot P48061

Gene ID 6387

Calculated MW11kDa

Sdspage MW11kDa

FormulationPBS with 0.02% sodium azide,50% glycerol,pH7.3.

StorageStore at -20˚C. Avoid freeze / thaw cycles.

Application Details
WB 1:500 - 1:2000
IHC 1:50 - 1:200
IF 1:50 - 1:200
Western blot analysis of extracts of various cell lines, using CXCL12 antibody.
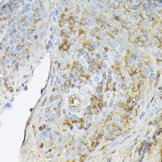
Immunohistochemistry of paraffin-embedded human gastric cancer using CXCL12 Rabbit pAb.
Immunofluorescence analysis of human liver cells using CXCL12 Rabbit pAb.
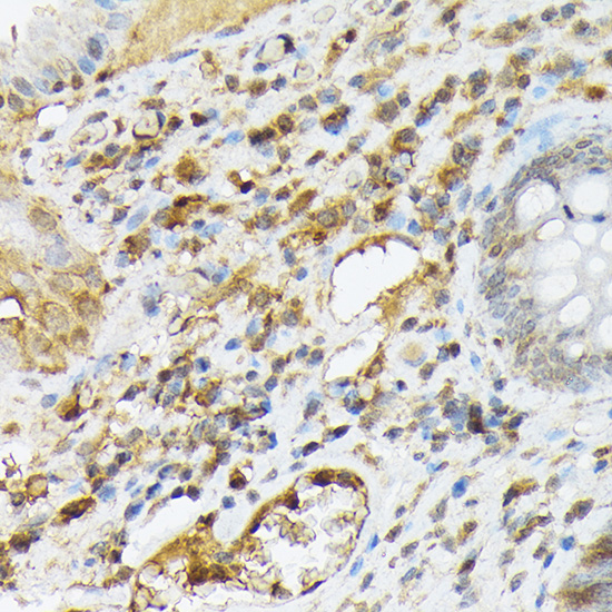
Immunohistochemistry of paraffin-embedded human tonsil using CXCL12 Rabbit pAb.
This antimicrobial gene encodes a stromal cell-derived alpha chemokine member of the intercrine family. The encoded protein functions as the ligand for the G-protein coupled receptor, chemokine (C-X-C motif) receptor 4, and plays a role in many diverse cellular functions, including embryogenesis, immune surveillance, inflammation response, tissue homeostasis, and tumor growth and metastasis. Mutations in this gene are associated with resistance to human immunodeficiency virus type 1 infections. Multiple transcript variants encoding different isoforms have been found for this gene.

If you have published an article using product 54506, please notify us so that we can cite your literature.

et al,Relationship between surrounding tissue morphology and directional collective migration of the posterior lateral line primordium in zebrafish , (2020),
PMID: 32516841

NOTE

Application

  • WBWestern Blotting
  • IHCImmunohistochemistry
  • IFImmunofluorescence
  • ICCImmunocytochemistry
  • FCFlow Cytometry
  • IPImmunoprecipitation
  • EELISA
  • DBDot Blotting
  • ChIPChromatin Immunoprecipitation
  • GICAGold Immunochromatography Assay
  • NCNegative Control

Species Reactivity

  • HuHuman
  • MsMouse
  • RtRat
  • DmDrosophila melanogaster
  • CCaenorhabditis elegans
  • MkMonkey
  • RbRabbit
  • BBovine
  • DDog
  • PPig
  • HmHamster
  • ChHmChinese Hamster
  • ChkChicken
  • ShpSheep
;