Goods Brief:
Applications:WB
Species Reactivity:Human,Mouse
>
Polyclonal Antibodies
Goods Brief:
Applications:WB
Species Reactivity:Human,Mouse
Goods Brief:
Applications:WB,IF
Species Reactivity:Human,Mouse
Goods Brief:
Applications:WB,IF
Species Reactivity:Human,Mouse,Rat
Goods Brief:
Applications:WB,IHC,IF
Species Reactivity:Human,Mouse,Rat
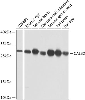
Goods Brief:
Applications:WB
Species Reactivity:Human,Mouse,Rat
Goods Brief:
Applications:WB,IF
Species Reactivity:Human,Rat
Goods Brief:
Applications:WB,IHC
Species Reactivity:Human,Mouse,Rat
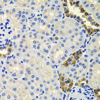
Goods Brief:
Applications:WB,IHC
Species Reactivity:Human,Mouse,Rat
Goods Brief:
Applications:WB,IF
Species Reactivity:Human,Mouse
Goods Brief:
Applications:WB,IF
Species Reactivity:Human,Mouse,Rat