Goods Brief:
Applications:WB,IF
Species Reactivity:Human,Mouse
>
                    Polyclonal Antibodies
                
            Goods Brief:
Applications:WB,IF
Species Reactivity:Human,Mouse
Goods Brief:
Applications:WB,IHC,IF
Species Reactivity:Mouse,Rat
Goods Brief:
Applications:WB,IHC,IF
Species Reactivity:Human,Mouse,Rat
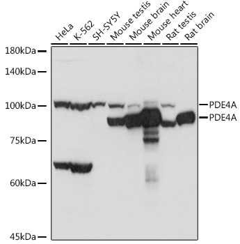
Goods Brief:
Applications:WB,IHC
Species Reactivity:Human,Mouse,Rat
Goods Brief:
Applications:WB,IHC
Species Reactivity:Human,Mouse,Rat
Goods Brief:
Applications:WB,IF
Species Reactivity:Human,Mouse,Rat
Goods Brief:
Applications:WB,IF
Species Reactivity:Human,Rat
Goods Brief:
Applications:WB,IHC,IF
Species Reactivity:Human,Mouse,Rat
Goods Brief:
Applications:WB,IHC
Species Reactivity:Human,Mouse,Rat
Goods Brief:
Applications:WB,IHC
Species Reactivity:Human,Mouse,Rat